155 E. 55th St., Suite 301, New York, NY 10022

Existing Patients: (646) 440-3101

New Patients: (646) 419-8726

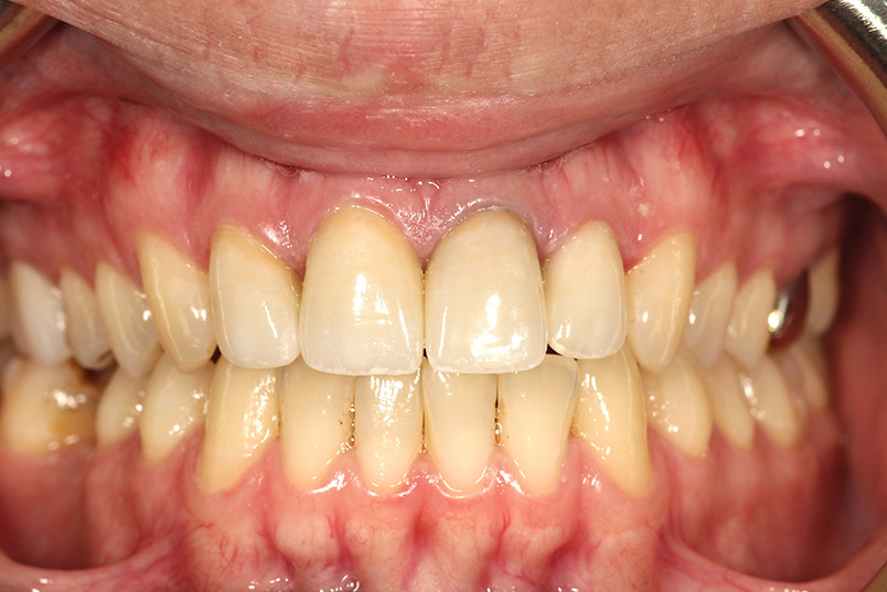
Before & After

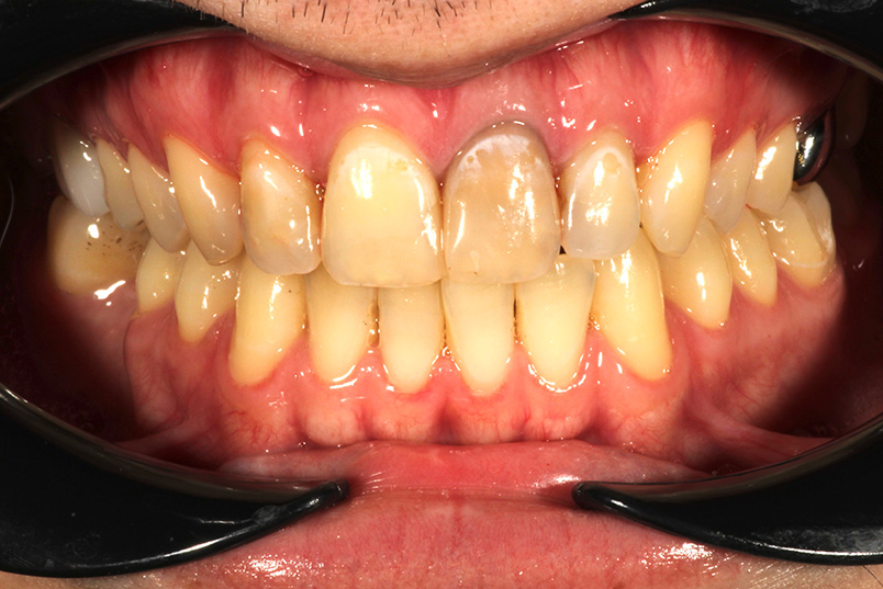
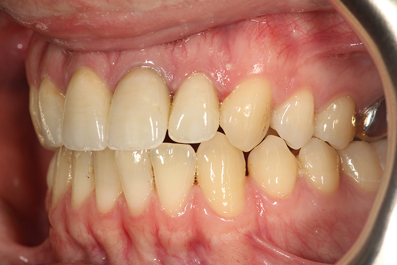
Before

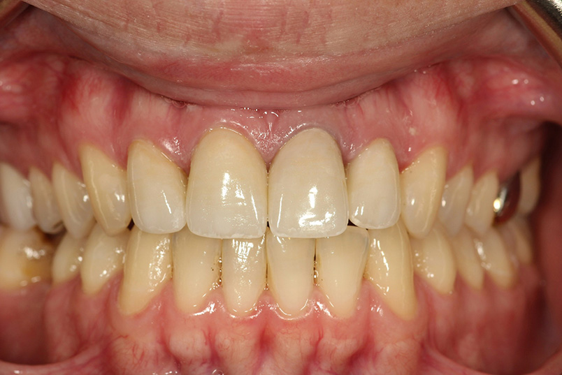
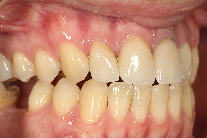
After

Existing Patients: (646) 440-3101
New Patients: (646) 419-8726
Fax: (646) 440 3102