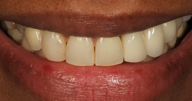
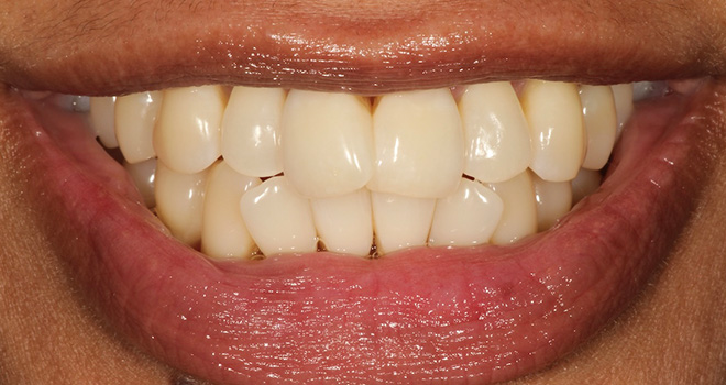
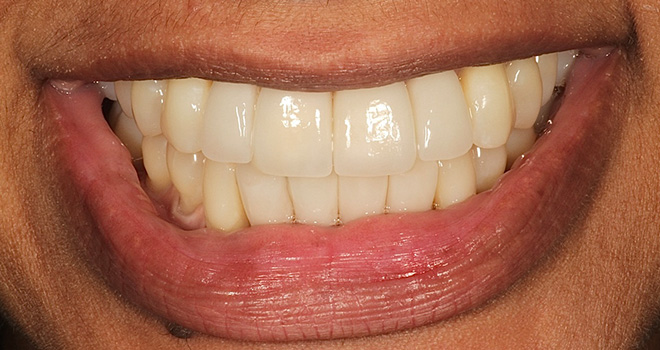
Welcome to Chroma Dental. Led by Dr. Yev Davydov, Dr. Brianna Davydov, and Dr. Gregory Shank, our skilled team provides personalized care in cosmetic, restorative, orthodontic, and surgical dentistry. Using advanced techniques and modern technology, we focus on the root cause of dental concerns to ensure lasting health, function, and a confident smile—tailoring every treatment to your comfort and long-term wellness.
155 E. 55th St., Suite 301, New York, NY 10022









