155 E. 55th St., Suite 301, New York, NY 10022

Existing Patients: (646) 440-3101

New Patients: (646) 419-8726

Smile Gallery

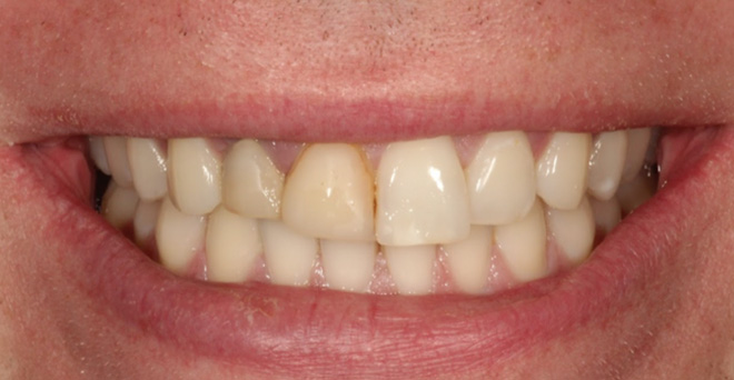
Before

The image shows a close-up of a person s smile with teeth showing, featuring yellowing and staining on the lower front teeth.

After

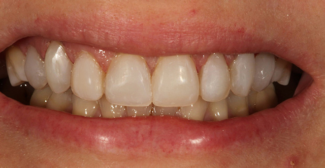
The image shows a close-up of a person s smiling face with teeth, set against a gray background.

Before

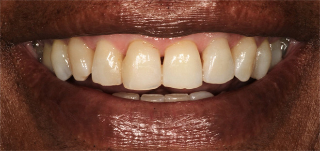
The image shows a person with a wide smile displaying yellowed teeth and an open mouth, revealing a partial set of dental implants.

After

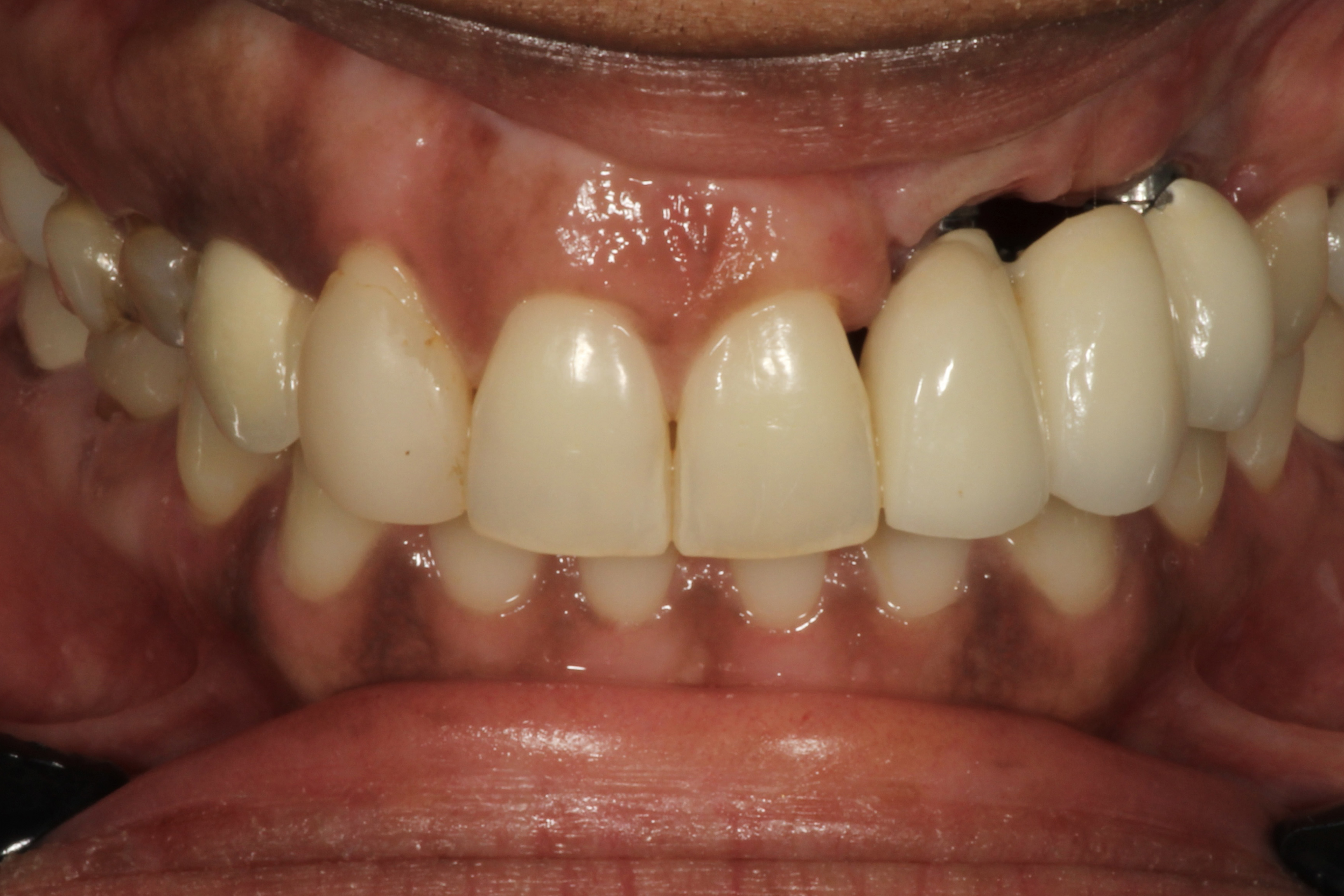
The image features a close-up of a person s smiling mouth with yellowed teeth, capturing their facial expression and part of their chin.

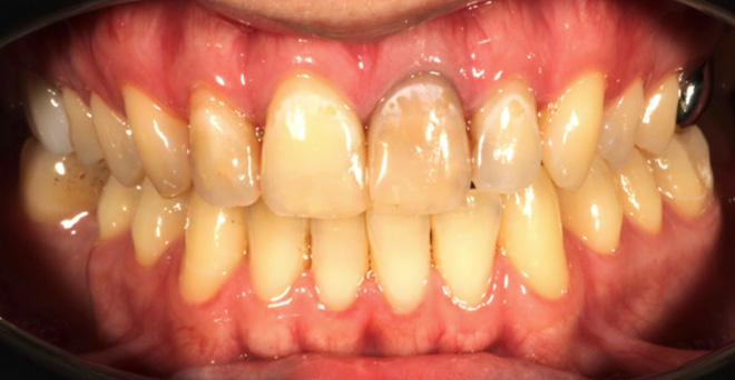
Before

The image displays a close-up view of a person s teeth with an overbite, showcasing a dental implant on the upper left side, set against a blurred background that appears to be taken from a mirror reflection.

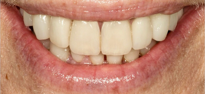
After

The image shows a close-up of an individual s mouth with a wide smile, displaying yellowed teeth and a visible hairy chin.

Before

The image shows a person with a wide smile revealing yellowed teeth, set against a blurred background.

After

The image shows a person with an open mouth displaying yellowed teeth, likely due to discoloration or staining, against a neutral background.

Before

The image shows a close-up of a person s mouth with teeth that appear to be dentures, featuring a wide smile with visible yellowing and staining on the front teeth.

After

The image shows a person with an open smile, displaying white teeth and a visible tongue, against a neutral background.

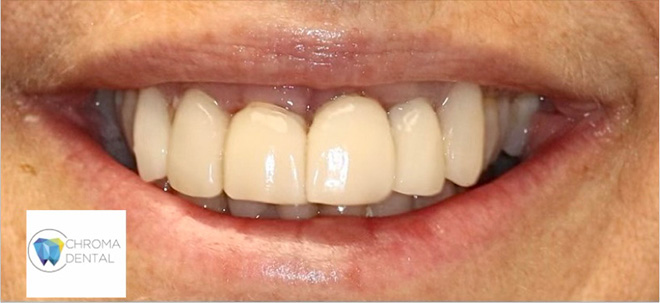
Before

The image shows a close-up of a person s smiling face with a focus on their teeth, which are prominently displayed, and a logo for  Chrona Dental  visible in the lower right corner.

After

The image shows a person with a wide smile revealing white teeth and gums, wearing a partial denture on the lower jaw.

Before

The image shows a close-up of a person s mouth with teeth, displaying a wide smile, and a close-up of the same person s face with their teeth showing, taken from a different angle.

After

The image shows a close-up of a person s smiling face with teeth showing, wearing lipstick, against a blurred background.

Before

The image shows a person smiling at the camera with their teeth visible, revealing a dental implant on the right side of their mouth.

After

The image shows a close-up of an individual's teeth with a wide smile, revealing a yellowish tint on the teeth.

Before

The image shows a person with a wide smile displaying yellowed teeth, which could indicate poor oral hygiene or natural aging.

After

The image shows a close-up of a person s mouth with teeth, including a large front tooth with a noticeable gap between the two sides, against a plain background.

Before

The image shows a person with a wide smile displaying yellowed teeth, which suggests poor oral hygiene or possibly an aging process affecting their dental health.

After

The image shows a close-up of a person s smiling mouth with white teeth, revealing a smile with some gaps between the teeth.

Before

The image shows a person's mouth with an unhealthy set of teeth, including some that appear to be rotten or decaying, and a yellowish-brown stained appearance, possibly due to tobacco use or other oral health issues.

After

The image displays a close-up of a person's smiling mouth with white teeth, showcasing a wide grin.

Before

The image shows a close-up of a person's teeth with a wide smile, revealing a yellowed appearance and some dental work.

After

The image shows a close-up of an individual's smiling mouth with yellowed teeth, set against a plain background.

Before

The image shows a close-up of a person with a wide smile displaying yellowed teeth and stained gums, set against a gray background.

After

The image shows a close-up of a person's mouth with a wide smile revealing teeth, set against a blurred background.

Before

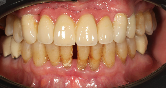
The image shows a close-up view of a person's teeth with yellowing and staining, particularly noticeable on the bottom teeth, which are crowded together. A partial denture is visible on the upper right side. The teeth appear to be in need of professional cleaning or dental care.

After

The image shows a close-up view of a person's mouth with teeth showing signs of decay and discoloration, indicating poor oral hygiene.

Before

The image shows a close-up view of an open mouth with teeth that appear discolored and possibly decayed, suggesting poor oral hygiene or dental health issues.

After

A man with a mustache showing his yellowed teeth and a wide smile.

Before

The image shows a close-up of a person smiling with a bright smile, revealing well-maintained teeth.

After

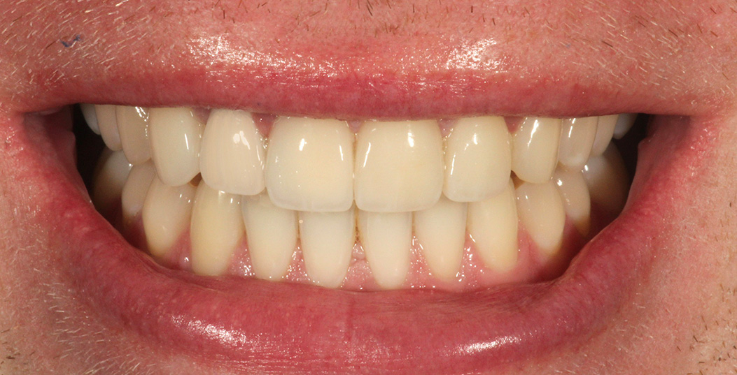
The image displays a close-up of a person's smiling mouth with teeth, showcasing a bright smile with white teeth and gums.

Before

The image shows a close-up of an individual's mouth with teeth showing, which appears to be a dental advertisement featuring a person with a noticeable smile.

After

The image shows a close-up view of a person's smiling mouth with straight white teeth.

Before

The image shows a close-up view of a mouth with rotten teeth covered in yellow stains and blackened gums, suggesting poor oral hygiene or advanced decay.

After

The image displays a close-up view of a person's teeth with visible yellowing, staining, and decay, which indicates poor oral hygiene and potential dental issues.

More Smile Transformations

Existing Patients: (646) 440-3101
New Patients: (646) 419-8726
Fax: (646) 440 3102