155 E. 55th St., Suite 301, New York, NY 10022

Existing Patients: (646) 440-3101

New Patients: (646) 419-8726

Before & After

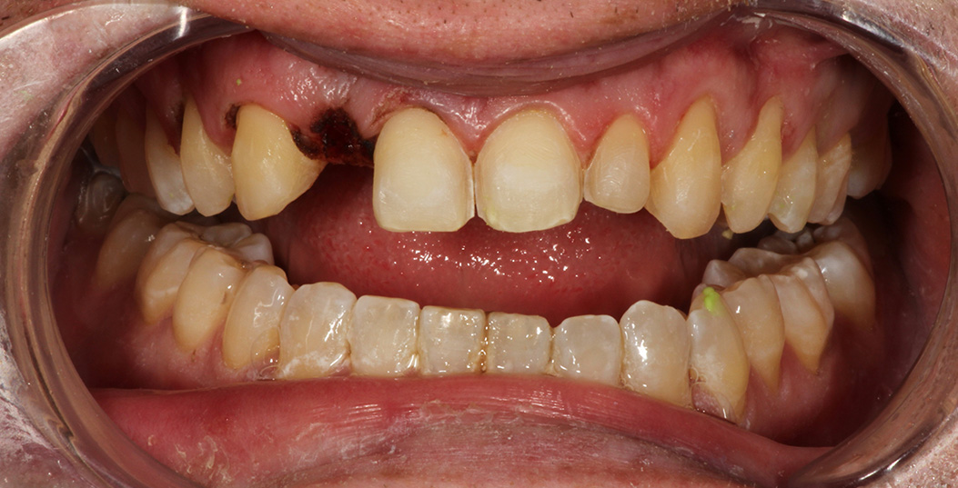
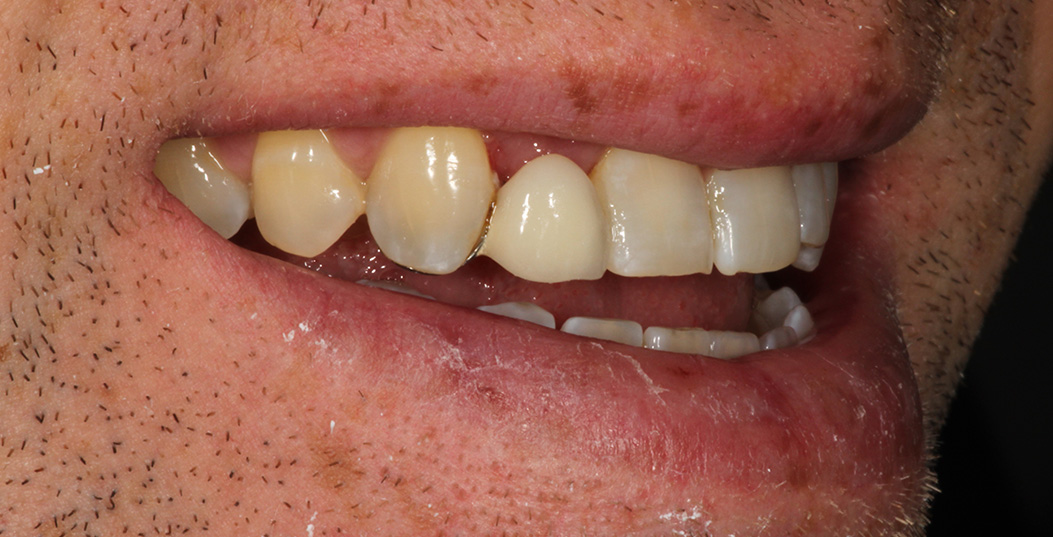
Before

The image shows a smiling man with short hair, wearing a collared shirt.
The image shows a close-up view of a person s teeth with a focus on a mouth with yellowish staining, possibly indicating poor oral hygiene or dental issues.
The image shows a close-up of a person s face with an open mouth revealing teeth and gums, along with a visible mustache and beard.
The image features a person with a broad smile showing teeth, displaying a large gap between front teeth and gums.
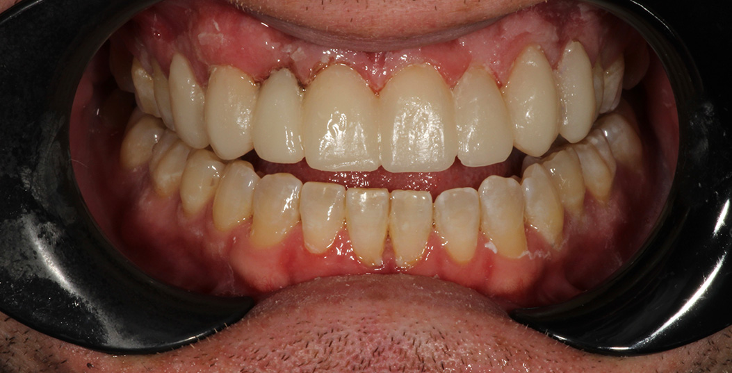
The image shows a close-up of a person s mouth with teeth that appear yellowed and stained, possibly due to tobacco use, with a gumline that looks pink and inflamed. There are also visible tartar buildup on the teeth and along the gumline.
The image shows a close-up of a person s mouth with teeth showing, displaying signs of dental decay or damage.
The image displays a close-up view of an individual s mouth with teeth showing, some of which are missing, and the person appears to be wearing glasses.

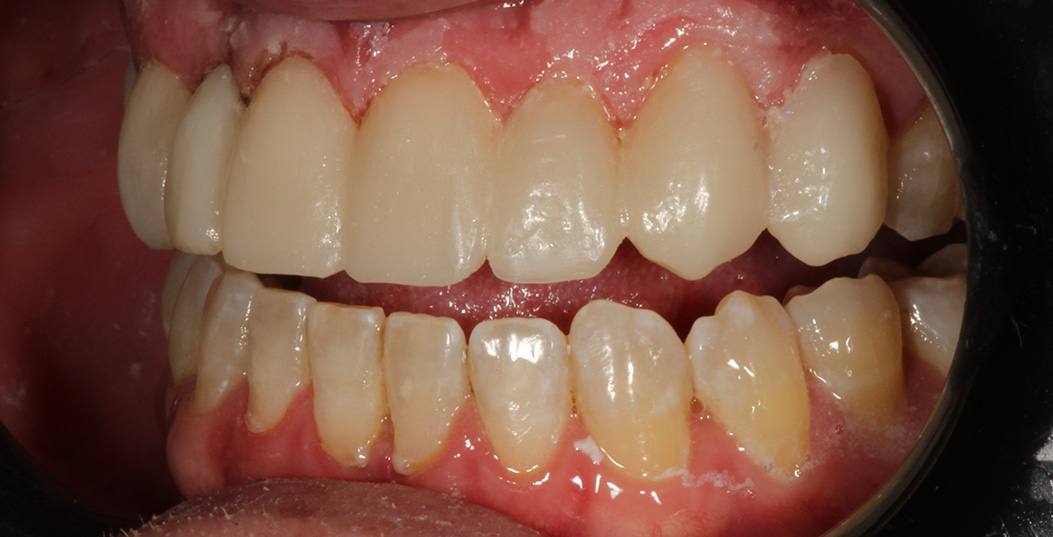
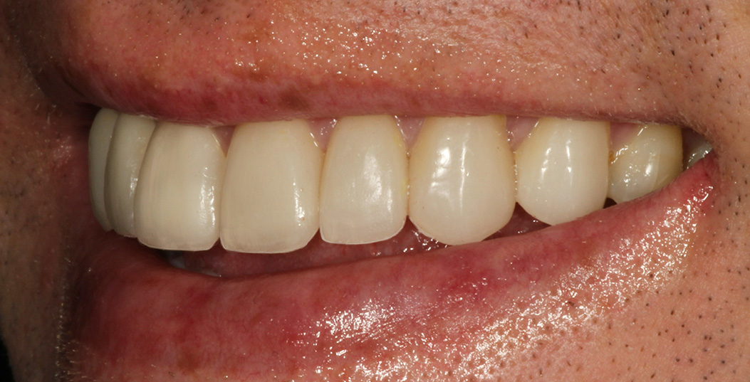
After

The image shows a man with short hair smiling at the camera.
The image shows a close-up of a person s mouth with teeth, gums, and tongue visible, against a blurred background.
The image shows a smiling person with red lips, displaying a set of teeth, against a neutral background.
The image shows a close-up of a person s face with a wide smile, revealing teeth and a tongue piercing, set against an overlaid textured background that appears to be a grey gradient.
The image shows a close-up of an individual s smiling mouth with teeth showing, set against a blurred background.
The image shows a close-up view of a person s mouth with teeth, some of which appear to be decayed or damaged, against a background that seems to be a medical setting, possibly a dental clinic.
The image shows a close-up of a person s face with a wide smile revealing teeth, and there appears to be some redness or irritation on the lips.
A man with a bright smile showing his teeth and gums, which appear healthy and clean.
Existing Patients: (646) 440-3101
New Patients: (646) 419-8726
Fax: (646) 440 3102