155 E. 55th St., Suite 301, New York, NY 10022

Existing Patients: (646) 440-3101

New Patients: (646) 419-8726

Before & After

Before

The image shows a smiling woman with dark hair, wearing makeup and a white top, against a plain background.
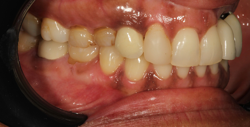
The image shows a close-up view of a person s mouth with severely decayed teeth, some missing, and one tooth prominently featuring a large cavity.
The image shows a close-up of a smiling person with white teeth, displaying a wide smile.
The image shows a close-up of a person s mouth with teeth exhibiting signs of decay and gum inflammation, suggesting poor oral hygiene or dental health issues.
The image shows a close-up of an individual s mouth with visible teeth discoloration and decay, featuring brown stains and yellowing, indicating poor oral hygiene or health issues.

After

A smiling woman with dark hair and gold jewelry against a neutral background.
The image shows a smiling woman with short hair, wearing a black top, posing for a portrait with a neutral background.
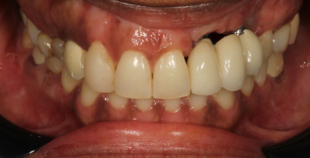
The image shows a close-up of a person s mouth with teeth, smiling, with a focus on their teeth and lips.
The image shows a close-up of a person s smile, with teeth clearly visible against a darker background.
The image shows a close-up of a smiling person with white teeth, wearing lipstick, against a neutral background.
Existing Patients: (646) 440-3101
New Patients: (646) 419-8726
Fax: (646) 440 3102