155 E. 55th St., Suite 301, New York, NY 10022

Existing Patients: (646) 440-3101

New Patients: (646) 419-8726

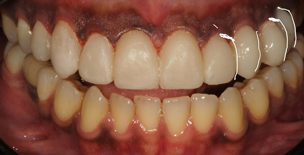
Before & After

Before

The image shows a man with a mustache smiling broadly at the camera, set against a water bottle background.
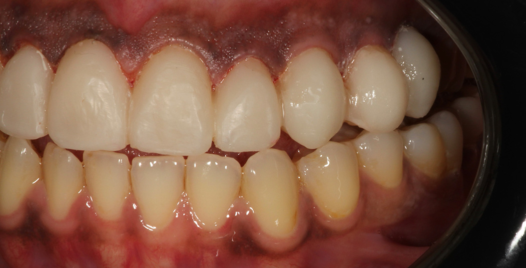
The image displays a close-up of a person's teeth with a yellowish hue, which suggests poor oral hygiene or possible dental issues.
The image displays a close-up of a person s teeth with an open mouth, showing yellowed teeth and gums, set against a neutral background.
The image shows a person wearing a dental mouth guard with an open mouth displaying multiple yellowed teeth, which suggests poor oral hygiene or dental health issues.
The image shows a person with a wide grin displaying yellowed teeth and an unhealthy smile, which suggests poor dental hygiene.
The image shows a close-up view of a person s mouth with teeth showing, and there is visible yellowing on the teeth.

After

The image shows a man smiling at the camera with his mouth open, displaying white teeth. He appears to be indoors, possibly in an office setting, as suggested by the presence of what looks like a desk and computer equipment in the background.
An extreme close-up of an open mouth showing a dental implant being fitted with a surgical tool visible in the foreground.
The image shows a set of dentures with multiple teeth placed on a mold, possibly for adjustment or demonstration purposes.
The image shows a close-up of a person s mouth with severely decayed teeth, some missing, and discoloration.
The image shows a close-up view of a person s mouth with a large set of teeth, some of which appear to be missing or damaged, against a background that includes a partial view of a hand holding a toothbrush.
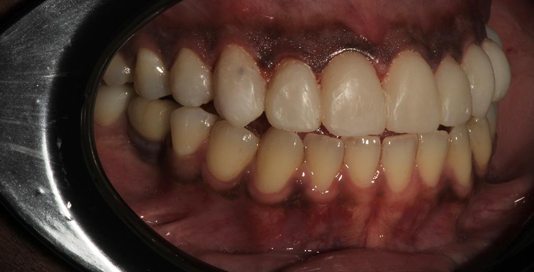
The image shows a close-up of a person s mouth with teeth that are discolored and possibly decaying, set against a blurred background which appears to be a metallic object with reflective surfaces.
The image shows a person with a wide smile revealing teeth, set against a dark background.
Existing Patients: (646) 440-3101
New Patients: (646) 419-8726
Fax: (646) 440 3102